Помощь военнослужащему!

Тема у розділі 'Курилка', створена користувачем komrad2011, 28 лис 2020.

Статус теми:
Закрита.
  1. komrad2011

    komrad2011 Stabsgefreiter

    Рейтинг:
    1
    Відгуків:
    1
    Лоти
      на продажу:
    0
      продані:
    3
    Повідомлення:
    1.962
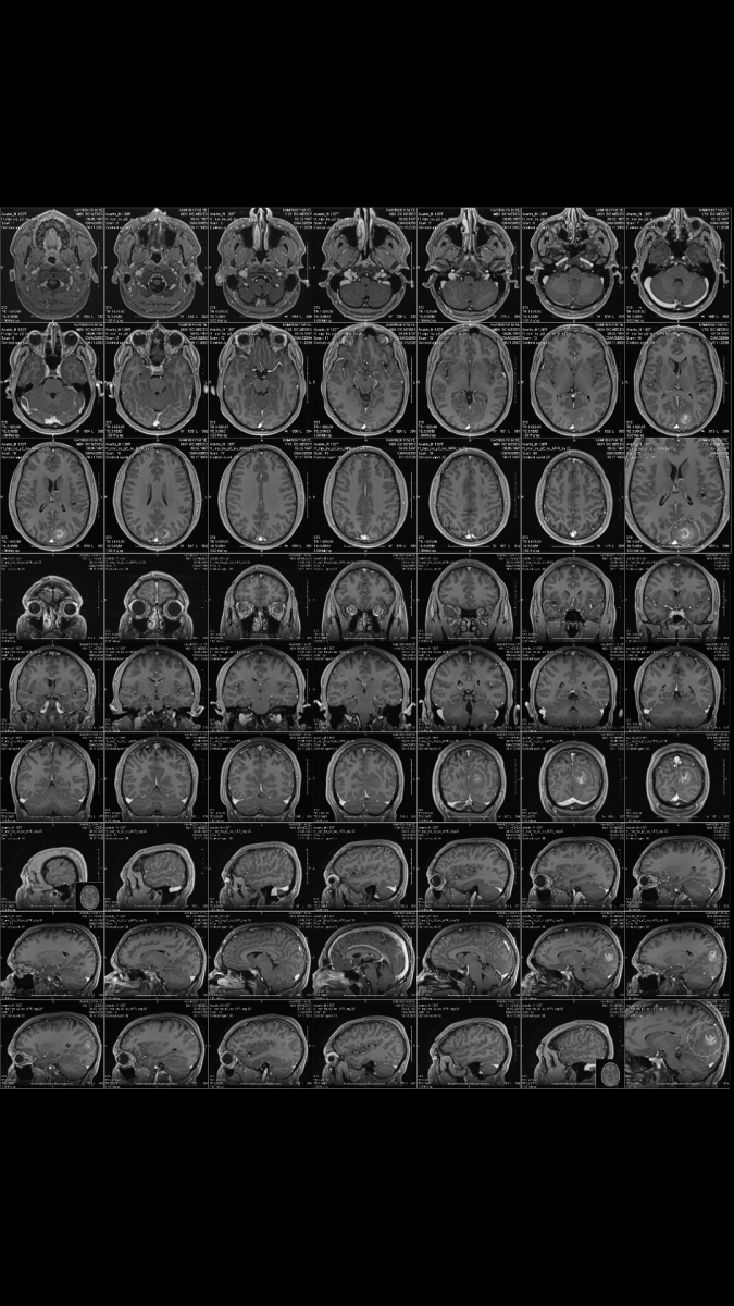
    Здраствуйте прошу помощи, моему племяннику - действующему военнослужащему Морской охраны нужна срочная помощь. У парня диагностировано опухоль головного мозга. Документы прилагаю. Будем благодарны любой помощь, так как операция дорогостоящая.
    К сожалению служба оплатить операцию не может, причины мы все знаем, увы.
    P.S. Всегда скидывался в подобных ситуациях, но никогда не мог представить, что это может случится в моей семье и думал что беда обходит. Не в этот раз....
    мой тел. 0986008679

    Карта ПриватБанк
    4731219122769726 (Каминский Евгений, отец, ветеран службы).
     

    Images:

    Screenshot_20201128-151034.png
    20201126_123205.png
    laser подобається це.
    1. Tru Spec ACU Shirt - полевой китель, элемент униформы ACU (Army Combat Uniform) армии США...(подробн...
      1225 грн.
    2. Виробництво “Dakota Outerwear Co.”, зроблено в США. MRS ABU Mobility Rain Pants Military USAF, Men&...
      677 грн.
    3. Нові,розмір M/R-довжина 110,пояс-43
      3800 грн.
    4. Tru Spec ACU Shirt - полевой китель, элемент униформы ACU (Army Combat Uniform Pattern) армии США......
      1225 грн.
    5. Назва - ACU Стан - вживаний, хороший Матеріал - PolyCotton Ripstop (50% нейлон, 50% бавовна) Компле...
      563 грн.
  2. _Alex_

    _Alex_ Stabsfeldwebel

    Повідомлення:
    952
    Адреса:
    Сумская обл., Украина
    Копеечку заслал.
     
  3. komrad2011

    komrad2011 Stabsgefreiter

    Рейтинг:
    1
    Відгуків:
    1
    Лоти
      на продажу:
    0
      продані:
    3
    Повідомлення:
    1.962
    Спасибо от офицерской семьи, жму руку.
     
    slava2839044, Kora5, S.T.A.L.K.E.R.83 та 8 іншим подобається це.
  4. Andrey Denisov

    Andrey Denisov Oberfeldwebel

    Повідомлення:
    794
    + , удачного лечения и выздоровления!
     
  5. komrad2011

    komrad2011 Stabsgefreiter

    Рейтинг:
    1
    Відгуків:
    1
    Лоти
      на продажу:
    0
      продані:
    3
    Повідомлення:
    1.962
    Жму руку.
     
    slava2839044, S.T.A.L.K.E.R.83, Oleg Sheva та 4 іншим подобається це.
  6. komrad2011

    komrad2011 Stabsgefreiter

    Рейтинг:
    1
    Відгуків:
    1
    Лоти
      на продажу:
    0
      продані:
    3
    Повідомлення:
    1.962
    Не всегда могу вовремя зайти и поблагодарить, но я благодарен каждому за помощь, администрации отдельное спасибо за понимание и человечность.
    С ув.!
     
  7. R@Mzes

    R@Mzes Oberstleutnant

    Рейтинг:
    4
    Відгуків:
    59
    Лоти
      на продажу:
    4
      продані:
    137
    Повідомлення:
    3.337
    Адреса:
    Житомир, Сурина гора
    19.01. Докинув трішки. Бажаю здоров'я!
     
  8. komrad2011

    komrad2011 Stabsgefreiter

    Рейтинг:
    1
    Відгуків:
    1
    Лоти
      на продажу:
    0
      продані:
    3
    Повідомлення:
    1.962
    Щиро дякую, тисну руку!
    З повагою.
     
    slava2839044, S.T.A.L.K.E.R.83, Рост76 та 4 іншим подобається це.
  9. dspy

    dspy Leutnant Клуб взаимопомощи

    Рейтинг:
    2
    Відгуків:
    12
    Лоти
      на продажу:
    0
      продані:
    23
    Повідомлення:
    1.335
    Адреса:
    Київська область
    +
     
    slava2839044, Kora5, Коваль Дмитро та 10 іншим подобається це.
  10. Kostia1969

    Kostia1969 Oberfeldwebel

    Повідомлення:
    359
  11. komrad2011

    komrad2011 Stabsgefreiter

    Рейтинг:
    1
    Відгуків:
    1
    Лоти
      на продажу:
    0
      продані:
    3
    Повідомлення:
    1.962
    Ще раз дякую всім, черговий раз підтверджую собі - є в нашій країні люди, є співчуття! Спасибо за поддержку.
    Маю честь:smile_14:
     
    slava2839044, Kora5, S.T.A.L.K.E.R.83 та 7 іншим подобається це.
  12. De Tomaso

    De Tomaso Stabsfeldwebel

    Рейтинг:
    4
    Відгуків:
    54
    Лоти
      на продажу:
    0
      продані:
    124
    Повідомлення:
    515
    Адреса:
    UA
    +
    23:54
     
    slava2839044, Kora5, Коваль Дмитро та 11 іншим подобається це.
  13. komrad2011

    komrad2011 Stabsgefreiter

    Рейтинг:
    1
    Відгуків:
    1
    Лоти
      на продажу:
    0
      продані:
    3
    Повідомлення:
    1.962
    Жму руку
     
    Kora5, S.T.A.L.K.E.R.83, Oleg Sheva та 5 іншим подобається це.
  14. Airsoft

    Airsoft Stabsfeldwebel

    Рейтинг:
    4
    Відгуків:
    1474
    Лоти
      на продажу:
    82
      продані:
    2.994
    Повідомлення:
    2.335
    Адреса:
    Фатерлянд
    + немного.. здоровья крепкого!!
    С ув.
     
    slava2839044, Kora5, Коваль Дмитро та 11 іншим подобається це.
  15. komrad2011

    komrad2011 Stabsgefreiter

    Рейтинг:
    1
    Відгуків:
    1
    Лоти
      на продажу:
    0
      продані:
    3
    Повідомлення:
    1.962
    Спасибо
    С ув.
     
    Kora5, S.T.A.L.K.E.R.83, Рост76 та 5 іншим подобається це.
  16. Механик0000

    Механик0000 Oberfeldwebel

    Повідомлення:
    323
    Адреса:
    Центр
    +21:13 Все буде добре. Разом ми сила !!!
     
    slava2839044, Kora5, Коваль Дмитро та 11 іншим подобається це.
  17. arez0609

    arez0609 Stabsgefreiter

    Рейтинг:
    2
    Відгуків:
    3
    Лоти
      на продажу:
    0
      продані:
    10
    Повідомлення:
    122
    Адреса:
    Одесса
    + копеечку, Крепкого здоровья!
     
  18. Skif Evgeniy

    Skif Evgeniy Oberfeldwebel

    Повідомлення:
    498
    Адреса:
    ЮГ
    +22:26 Выздоровления !!!
     
  19. sakuraba

    sakuraba Obergefreiter

    Рейтинг:
    2
    Відгуків:
    1
    Лоти
      на продажу:
    0
      продані:
    6
    Повідомлення:
    83
    Адреса:
    Україна
    Одужання Вам!
     
    Acubens, slava2839044, Коваль Дмитро та 11 іншим подобається це.
  20. asterlix

    asterlix Stabsgefreiter

    Рейтинг:
    0
    Лоти
      на продажу:
    0
      продані:
    1
    Повідомлення:
    254
    Адреса:
    Україна
  21. kelt

    kelt General-major

    Повідомлення:
    5.410
    Адреса:
    Україна. З усіх усюд.
    +
    22:25
    Тримайтеся!
     
  22. Slavon12M

    Slavon12M Stabsfeldwebel

    Рейтинг:
    1
    Лоти
      на продажу:
    10
      продані:
    2
    Повідомлення:
    681
    Адреса:
    Слобожанщина
    + в 22.30 Скорого выздоровления!
     
  23. EL.Shut

    EL.Shut Schütze

    Рейтинг:
    1
    Відгуків:
    2
    Лоти
      на продажу:
    0
      продані:
    2
    Повідомлення:
    1
    Адреса:
    Волочиск
    Здоров'я хлопові , чим міг +
     
  24. Vladyova122889

    Vladyova122889 Feldwebel

    Рейтинг:
    4
    Відгуків:
    115
    Лоти
      на продажу:
    1
      продані:
    302
    Повідомлення:
    215
    Адреса:
    Плам
    помог чем мог+
     
  25. kley

    kley Hauptmann

    Рейтинг:
    4
    Відгуків:
    55
    Лоти
      на продажу:
    0
      продані:
    115
    Повідомлення:
    2.409
    Адреса:
    город києв
    + 22.33
     
    Полтава1982, Otryta, _KUZMICH_ та 12 іншим подобається це.
Статус теми:
Закрита.